When it comes to parasitic infestations, geography (or at least country of origin) is destiny. Billions of people have parasitic infections. They largely relate to social conditions and parasitic diseases will be eradicated when/if countries provide clean water, prevent public defecation and ensure people have shoes and are properly fed. These aims are deceptively simple but are largely thwarted by political and social instability. But let me get off my soapbox and tell you about a case that is relevant to many of Canada’s 10,000-12,0000 immigrants/year. In our weekly Morbidity and Mortality Rounds we reviewed a case that perfectly (and sadly) illustrates the risk of re-emergence of the parasite Strongyloides in an immigrant who became immunosuppressed more than half a century after his presumptive infection. This case was presented by a team of faculty led by Drs Annette Hay (Hematology), which included Alex Menard (Radiology), Suzy Abu-Abed (Pathology), Prameet Sheth (Microbiology).

Dr. Annette Hay (Hematology)

Dr. Alex Menard (Radiology)
Most parasitic infections clear when the affected person immigrates to a non-endemic area. However, there are two infestations that are common and chronic and which immigrants bring to Canada with them with surprising frequency. These diseases are schistosomiasis and strongyloidiasis. According to the Canadian Colla0boration for Immigrant Health, these diseases affect 200,000,0000 and 100,000,000 people, respectively, worldwide. The following case illustrates that the travel history is critical to patient diagnosis, that immunosuppression often tips the balance to change an infestation into an infection and that sadly we provide better access to therapies for parasites for our pets than for immigrants. Case: A middle-aged man who had immigrated from Liberia 47 years earlier (and never returned) presented with 3-day history of cough, fever, dyspnea. He had been experiencing weight loss and fatigue and was on prednisone (25mg daily). He was admitted to hospital with palpable lymph nodes, a chest X-ray showing airspace disease in left lower lobe and a peripheral smear consistent with infection, liver disease (acanthocytes and target cells) and lymphocytic leukemia (lymphocytosis and smudge cells).
This patient had many hematologic abnormalities but his eosinophilia was very mild (which is not uncommon in Strongyloidiasis)
Exam revealed an ill-looking gentleman with BP 97/62, O2 92% room air, and temperature 39.5. Based on a presumptive diagnosis of pneumonia in an immunosuppressed patient he was treated with moxifloxacin, ceftriaxone, azithromycin, fluid, and oxygen. He also had undiagnosed hepatitis B. Prior to initiating chemotherapy for CLL he was treated with tenovir, as well as outpatient 1l oxygen, Septra, and steroids. He returned within 3 weeks suffering from abdominal pain, which was partially relieved by bowel movements. His course was subsequently complicated by diabetic ketoacidosis (new diagnosis of diabetes), acute kidney injury and hypoxemia with ground glass opacities on Chest CT scans. He developed haemolytic anemia. Because of worsening abdominal pain, nausea, malnourished, loose bowel movements, a CT was performed which showed bulky retroperitoneal, iliac & inguinal lymphadenopathy (nodes up to 11 cm, with mass effect on bladder and colon with partial obstruction. As a result he was treated with chemotherapy, including rituximab. Within 2 days he became hypotensive and blood cultures revealed Enterococcus faecium bacteremia. 4 days later he began having bright red blood per rectum and became hypotensive despite transfusion, and use of cryoprecipitate, vitamin K. An attempt was made to identify the source of blood loss and coil the culprit artery. However, this was complicated by ongoing instability (due to continued bleeding into the abdomen).

Angiogram showing extravasation of contrast reflecting ongoing bleeding from small bowel
Consequently he was taken to surgery and an emergent small bowel resection was performed which revealed a bleeding ulcerated artery.

Unfortunately despite resuscitation efforts the patient succumbed to infection, hemorrhage and hemolysis. The surgical specimens revealed a hyperinfection with Strongyloides stercoralis.
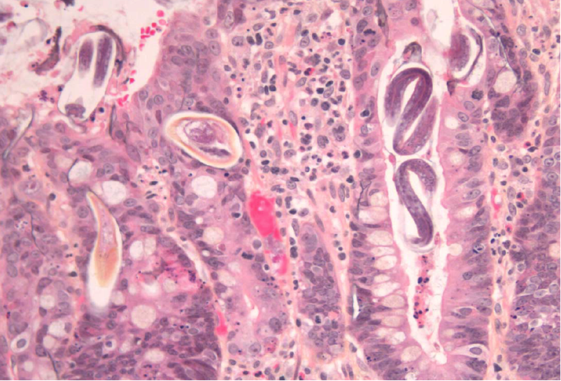
Micrograph showing the nematodes within the crypts of the small intestine (serpentine purple structures)
These parasites were also present in large numbers in the bronchoalveolar lavage fluid, suggesting they caused the infiltrate on chest X-Ray.

Adult Strongyloides in bronchoalverolar lavage sample
Transmission of Strongyloides is most common in tropical and subtropical regions but can occur in temperate climates. When sanitation is deficient, infection is acquired through direct contact with contaminated soil (walking barefoot) and can occur without any break in the skin. Unlike many parasites the infection is persistent once established. However, in most hosts, the parasite is contained by the host’s immune system.

Life Cycle of Strongyloides: A cycle that could be broken by good public health measures (including waste disposal, use of toilets and use of shoes)
The diagnosis was a surprise; although in retrospect this reflects our tendency to assume immigrants who have long been in Canada are not at risk of recrudescence of their parasitic illnesses. In a Systematic review Schar et al, PLoS Negl Trop Dis 2013 suggested a prevalence of ~68% in refugees and immigrants. Moreover, they estimate that 30-70% of Canadian immigrants carry this nematode and presumably, when immunosuppressed, as in our patient (by steroid therapy, leukemia and chemotherapy) the contained, asymptomatic infestation becomes a symptomatic hyperinfection. In this case it is likely the parasite eroded the small bowel and caused fatal GI bleeding. The typical presentation of the syndrome (in immunocompetent vs immunocompromized patients) was summarized by Lim et al in a recent paper (CMAJ • AUG. 31, 2004; 171 (5)).
Gyorkos et al assessed the seroepidemiology of Strongyloides infection in the Southeast Asian refugee population in Canada (Am J Epidemiol. 1990 Aug;132(2):257-64). In 232 new immigrants (1982-83)the seroprevalence was 76.6% Kampucheans, 55.6% Laotians, 11.8% Vietnamese. The immigration guide for Canada suggests that “Sub-clinical infections or low-grade disease can persist for decades after immigration and in the presence of immunosuppression may transform into life-threatening disseminated disease. Serology is the most sensitive diagnostic modality currently available. Treatment with ivermectin is of short duration, is highly effective, (NNT 2, CI ~1 to 3) and has a favourable side effect profile.”
Prevalence of Strongyloides in immigrants by country
However, ivermectin is an oral drug and our patient could not retain it due to vomiting. In addition, many physicians do not know how to obtain ivermectin (or the alternative drug, albendazole). Ivermectin can be obtained through Health Canada’s Special Access Programme. Physicians send the request form to Health Canada who forwards the request to the manufacturer (Merck). Merck then sends the physician a second form. When that form is submitted and approved, the tablets are sent to the physician's office. (http://www.refugeehealth.ca/guidelines/strongyloides-and-schistosoma). Ironically, while finding ivermectin in a hospital is challenging you are probably familiar with it since it is first line preventative therapy for heartworm in dogs!

Henry the Beagle (seen on right) Advocates Use of Ivermectin to Prevent Heart Worm
Bottom line: It’s a small world and the old adage, “You can’t get there from here” no longer applies. So remember the words of Richard and Robert Sherman (in their immortal-if saccharin Disney song-It’s a Small World):
It's a world of laughter, a world of tears
It's a world of hopes and a world of fears
There's so much that we share that it's time we're aware
It's a small world after all
Because the world is indeed small let’s remember to ask our patients their country of origin. Per Canadian and US guidelines we should screen refugees newly arriving from Southeast Asia and Africa by performing serology for strongyloidiasis and treat if positive with ivermectin (first line) or albendazole (if ivermectin is contraindicated). Thanks to Dr. Hay and her colleagues for reminding us to be vigilant for Strongyloides in our immigrant population. For more information: